Kuudennen viikon aluksi otettiin uudet röntgen-kuvat – viikon verran etuajassa, koska ortopedi halusi tutkia jatkuneen kipuilun syytä. Oli hiukan pelottavaa hypätä terveellä jalalla kuvaustasanteelle siten, että leikattu jalka oli ilman suojaa, paljaana. Tähän asti jalka oli koko ajan ollut kipsissä tai Walker-saappaassa. Ilman tukea hyppääminen vaati rohkeutta tällaiselta 63-vuotiaalta mummolta.
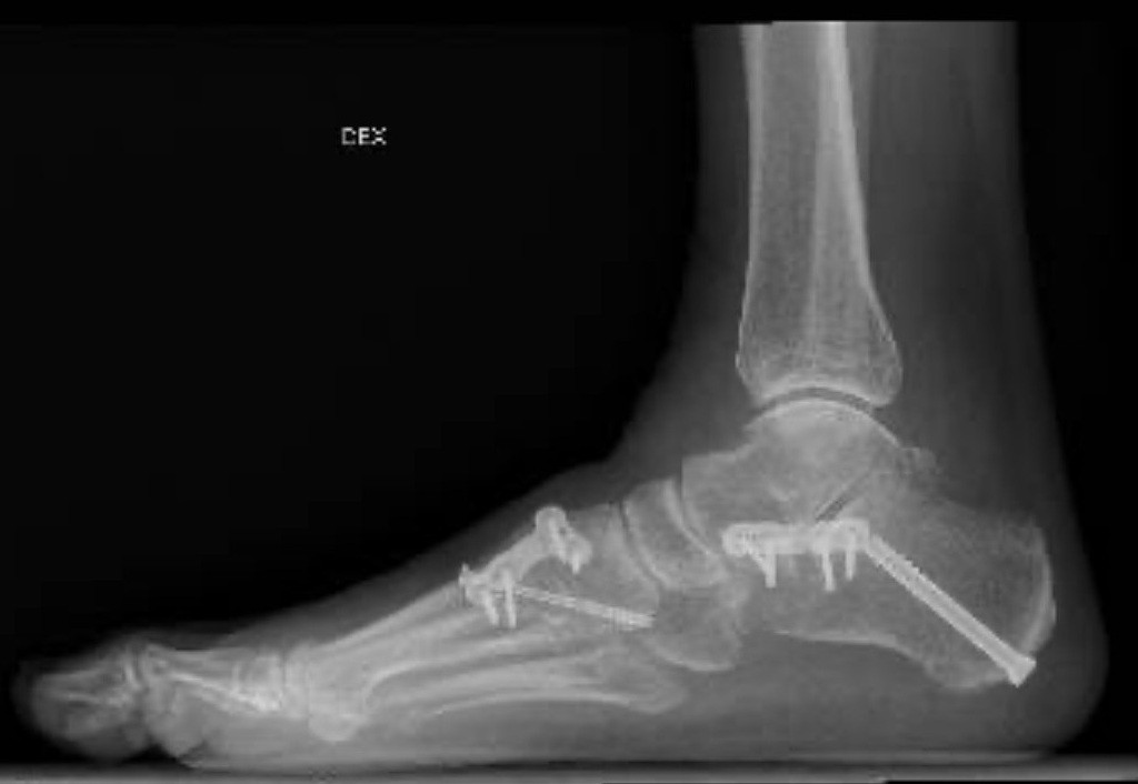
Kuvien mukaan leikkaus oli onnistunut erinomaisesti ja luutuminen oli päässyt hyvin käyntiin. Omaan silmääni pisti ennen-jälkeen kuvien suuri muutos. Maallikkona mielipiteeni on, että kivut johtuvat muutoksesta jalkaterän asennossa. Kivut ovat olleet jalkapöydän päälle liitetyn implantin kohdalla ja sen ympäristössä aina isovarpaan juuresta jalkaholviin asti, jalkaholvi mukaan lukien.

Olin tietysti hyvilläni, että leikkaus oli onnistunut hyvin. Röntgen-kuvia iloisena esitelleelle ortopedille sanoin, että leikkaus siis onnistui, mutta potilas kärsii. Jäin miettimään, olisiko ortopedi voinut muokata jalkaterää vähemmän ja silti saada riittävän hyvän lopputuloksen. Olen ymmärtänyt, että esimerkiksi ensimmäistä tarsometatarsaaliniveltä ei aina luuduteta, kun rakennetaan uusi jalkaholvi. Tämä tehdään vain, jos jalkapöytä on liian liikkuva/löysä. Juuri tämä luudutusimplantti on aiheuttanut pahimmat kivut. Varmaankin se oli silti minun tapauksessani järkevää asentaa. Lisäksi kantapää oli asennettu uudelle paikalleen (kahtia sahauksen jälkeen) lyömällä naula sen läpi ja kiinnittämällä levy sen sivulle. Tämä levy näkyy osittain ao. kuvan alareunassa.

Kipu jatkui koko kuudennen viikon, mutta havaitsin jo hienoista helpotusta. Sain myös selville, että Tramalin absoluuttinen maksimiannos vuorokaudessa on 400 mg, joten pyysin ortopedilta luvan tähän maksimiannokseen, jos kipu on yöllä sietämätöntä. Ja mennessäni kuuden viikon jälkitarkastukseen vaadin lisää kivunlievitystä, koska en ollut vieläkään saanut kipulääkäriä. Ortopedi määräsi Noritren-lääkkeen, 10 mg annostuksella. Tämän lääkkeen pitäisi nostaa kipukynnystä, mutta vaikutus alkaisi vasta noin viikon käytön jälkeen.
| 6. vko | Kipu hellittänyt hieman, mutta palaa 3-4 h kuluttua lääkkeenotosta | Tramal 100 mg, Burana 600 mg, Panadol 1g kerralla | Lisäsin Panadolin lääkkeisiin. Uusi lääke Noritren 10 mg aloitettiin 5 vko 6 pv-kohdalla (21.10.) |
Fysioterapia alkoi heti jälkitarkastuksen jälkeen. Sain varata koko painolla jalalle. Lisäksi sain ao. ohjeet kotona tehtäväksi, kivun sallimissa rajoissa. Pystyin kotona jättämään sauvat pois muutaman metrin matkoille. Muuten tukeuduin niihin enemmän ja enemmän päivän edetessä ja kivun yltyessä.

Kipulääkäri ei ottanut yhteyttä ennen kuin seitsemännen viikon ensimmäisenä päivänä. Siitä kerron lisää seuraavassa artikkelissa.

Vastaa