Miten selvisin hankinnaisen lättäjalkani leikkauksesta
Etsin tietoa lättä/latta/latuskajalan leikkauksesta ennen omaa leikkauspäätöstäni. Varsinkin kokemusperäistä, koko prosessin kattavaa suomalaista tietoa oli vaikeaa löytää. Siksi päätin jakaa oman kokemukseni tästä vaativasta operaatiosta. Toivon, että joku tietoa etsivä löytää tiensä tälle saitille.
-
Vihdoin alkaa näkyä valoa tunnelin päässä, vaikka 4. kuukauden alkupuolella tulikin takapakkia. Pidin lääkinnällistä tukisukkaa kipulääkärin ohjeen mukaisesti siten, että vedin sukat jalkaan heti aamulla ennen kuin nousin sängystä. Näin turvotus laski, mutta samalla kipu muutti muotoaan. Sen lisäksi, että tunsin sekä jalkapöytään että nilkan ulkosyrjään asennetut implantit, nilkan ulkosyrjä kipeytyi niin pahasti, etten kyennyt

-
Tämä päivitys meni hiukan pitkäksi. Työt vievät liikaa aikaa. En kuitenkaan ole vielä kunnossa. Jalkaterä kipuilee edelleen, mutta Targiniq-opiaattia on vähennetty 2/3:aan. Olen selvinnyt vähennyksestä hyvin. Kipulääkäri on empaattinen ja ymmärtää kipuiluni toisin kuin ortopedi. Fysioterapeutin mukaan olen edistynyt hyvin, täysin aikataulussa. Tässä vaiheessa olen jo jättänyt kävelysauvat kokonaan pois, vaikka yhden kerran kadutti, kun

-
Taitaa vihdoin olla aika palauttaa suihkutuoli Helsingin Apuvälinepalveluihin. Tämä käsinojallinen kappale on palvellut minua hyvin. Nyt pystyn jo seisomaan suihkussa, joten tuolillekaan ei ole enää käyttöä. Luovutan sen iloisena seuraavalle tarvitsijalle. Hienoa, että Helsinki tarjoaa tällaisen palvelun. Ennen leikkausta ei olisi tullut mieleenkään jatkaa neuletyötä, jonka aloitin vuonna 1990. Niin kuitenkin kävi. Kaivelin kätköistäni 35

-
Yhdeksäs viikko leikkauksesta alkoi ensimmäisellä täysin kivuttomalla päivällä. Toki paikoitellen tunsin kipua, erityisesti implanttien kiinnityskohdissa. Tunne oli silti upea, jalkaterä ei ollut enää tulessa. Aiempina päivinä oli vielä ollut jonkin verran särkyä erityisesti jumppaliikkeiden jälkeen tai iltaisin. Silloin otin käyttöön nilkan kylmäkompression, jonka olin vartavasten tilannut jo pari viikkoa aikaisemmin. Nilkkatuen sisällä on geelityyny, joka

-
Kahdeksannella viikolla tapasin kipulääkärin kasvokkain. Hän teki kaikenlaisia kokeita (kylmä, pehmeä, pistävä) jalkaterälle. Hän oli hiukan huolissaan jalkaterän tumman violetista väristä. Kerroin, että ortopedi oli sanonut värin olevan ihan normaali. Se tulee poistumaan, kun liikkuminen normalisoituu. Tunnin kestäneen vastaanoton päätteeksi

-
Valtava helpotuksen tunne valtasi minut, kun kipulääkäri soitti seitsemännen viikon ensimmäisenä päivänä. Olin odottanut hänen soittoaan kokonaisen viikon. Tuossa vaiheessa olin jo todella uupunut, ja olin ortopedin pyynnöstä huolimatta ollut suoraan sähköpostitse yhteydessä tähän kipulääkäriin. En halunnut enää vain odottaa. Epätietoisena siitä, vastaako kipulääkäri sähköpostiini

-
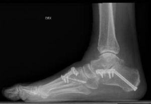
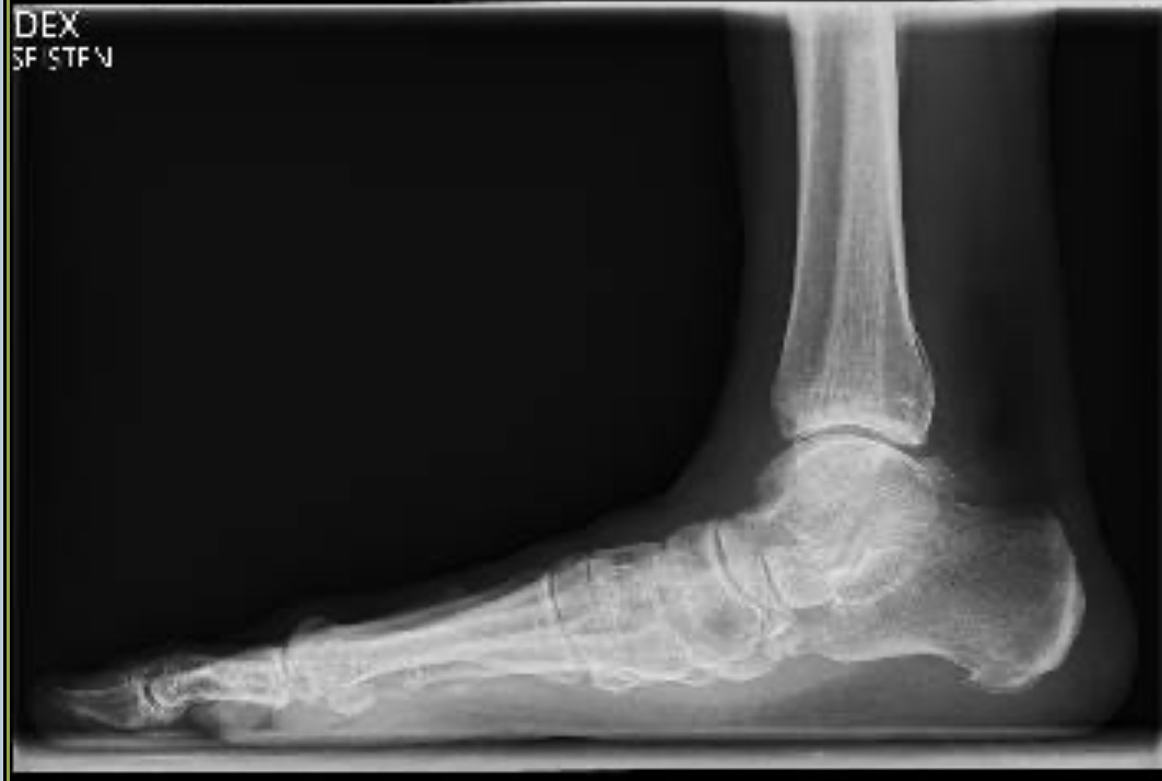
Kuudennen viikon aluksi otettiin uudet röntgen-kuvat – viikon verran etuajassa, koska ortopedi halusi tutkia jatkuneen kipuilun syytä. Oli hiukan pelottavaa hypätä terveellä jalalla kuvaustasanteelle siten, että leikattu jalka oli ilman suojaa, paljaana. Tähän asti jalka oli koko ajan ollut kipsissä tai Walker-saappaassa. Ilman tukea hyppääminen vaati rohkeutta tällaiselta 63-vuotiaalta mummolta. Kuvien mukaan leikkaus oli onnistunut

-
Yritin keskittyä muihin asioihin, jotten keskittyisi pelkästään kipuun. Siksi rupesin kirjoittamaan tätä blogiakin. Sitä aloittaessani en tosin tiennyt, että koko sairauslomani pyörisi näin vahvasti kivun ympärillä. Kehitin uuden rutiinin: aloin ratkoa Helsingin Sanomien Sanajuurta ja Miniristikkoa joka ilta ennen nukkumaanmenoa.

-
Neljäs viikko meni vielä kivun ehdoilla. Ukkovarpaan tyven polttava ja puristava kipu sai minut ottamaan yöllä Walkerin kovan ulkosaappaan pois jo kolmannen viikon puolivälissä ja vain sitomaan nilkan lähelle 90-asteen kulmaa ideaalisiteellä ja Walkerin sisäsaappaalla. En vain kyennyt sietämään kovaa kipua, joka

-
Ompeleet poistettiin tasan kaksi viikkoa leikkauksen jälkeen. Jännitin proseduuria etukäteen, koska iho oli edelleen kosketusherkkä. Ihan turhaan jännitin, hoitaja napsaisi hellävaraisesti pois kaikki 55 tikkiä. Muutama ompele oli lonkassa, josta oli lainattu luuta, ehkä uuden kantapään rakentamiseen. Nämä lonkan pehmytkudoksessa olleet ompeleet
